39  Ampulla Vater

ampulla
adenocarcinoma
adenokarsinom
nöroendokrin
neuroendocrine
NET
WDNET
iyi diferansiye nöroendokrin tümör
well differantiated neuroendocrine tumor
Published

November 10, 2025

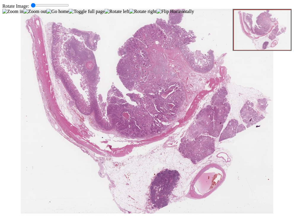
39.1 Adenocarcinoma of Ampulla of Vater

Adenocarcinoma of Ampulla of Vater

Click for Full Screen WSI Click for Full Screen WSI

Adenocarcinoma of Ampulla of Vater

Click for Full Screen WSI Click for Full Screen WSI

See Microscopy with viewer:

See Microscopy with viewer:

39.2 Ampulla WDNET well differantiated neuroendocrine tumor

ampulla WDNET well differantiated neuroendocrine tumor

Click for Full Screen WSI Click for Full Screen WSI

See Microscopy with viewer: